矯正症例

case

矯正症例

当院の矯正治療症例集

矯正治療を受けられた方の治療症例を紹介しています
ご検討の方は、ぜひご覧ください

大人の矯正症例

治療例前
治療例前
治療例後
治療例後

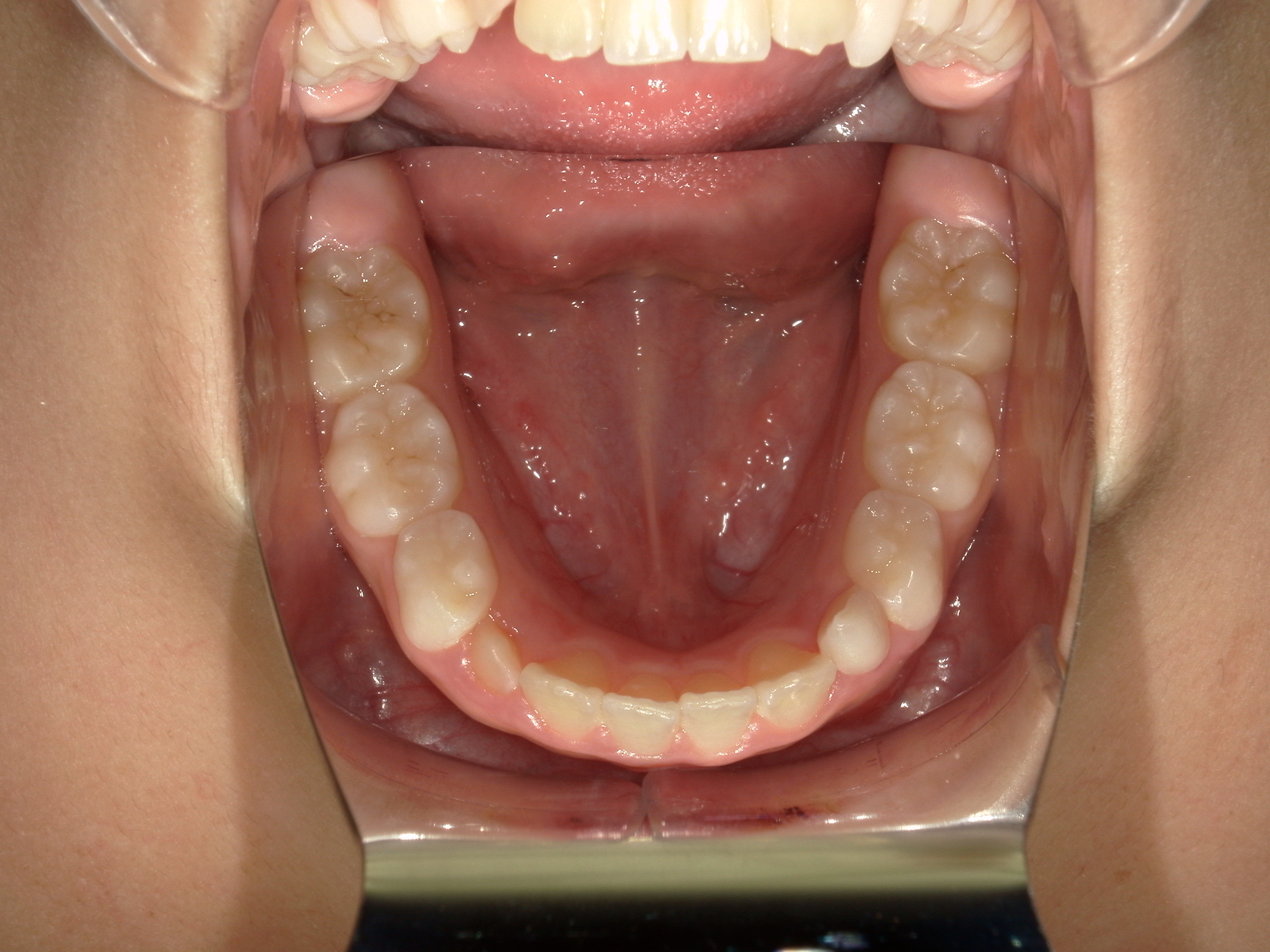
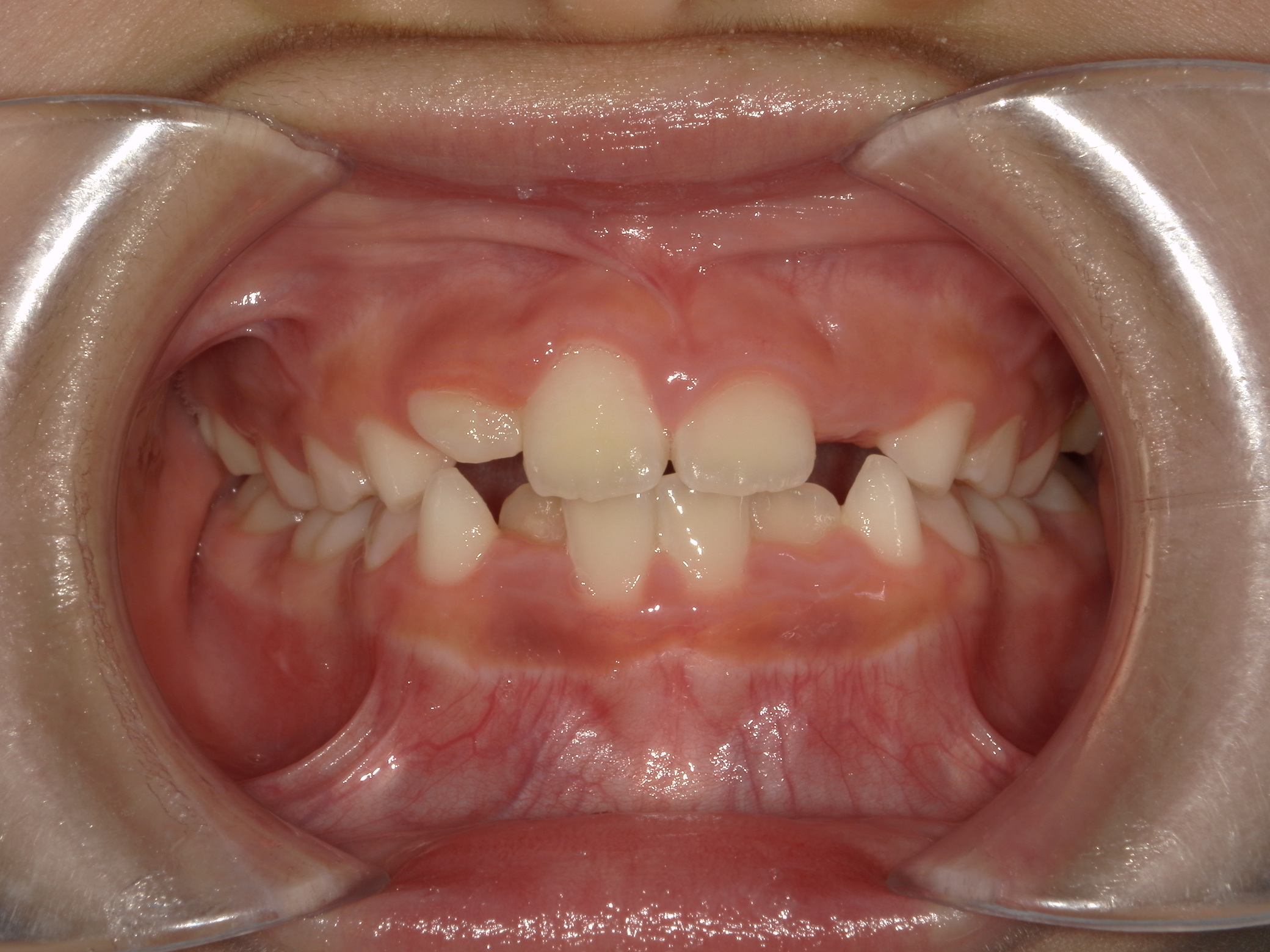
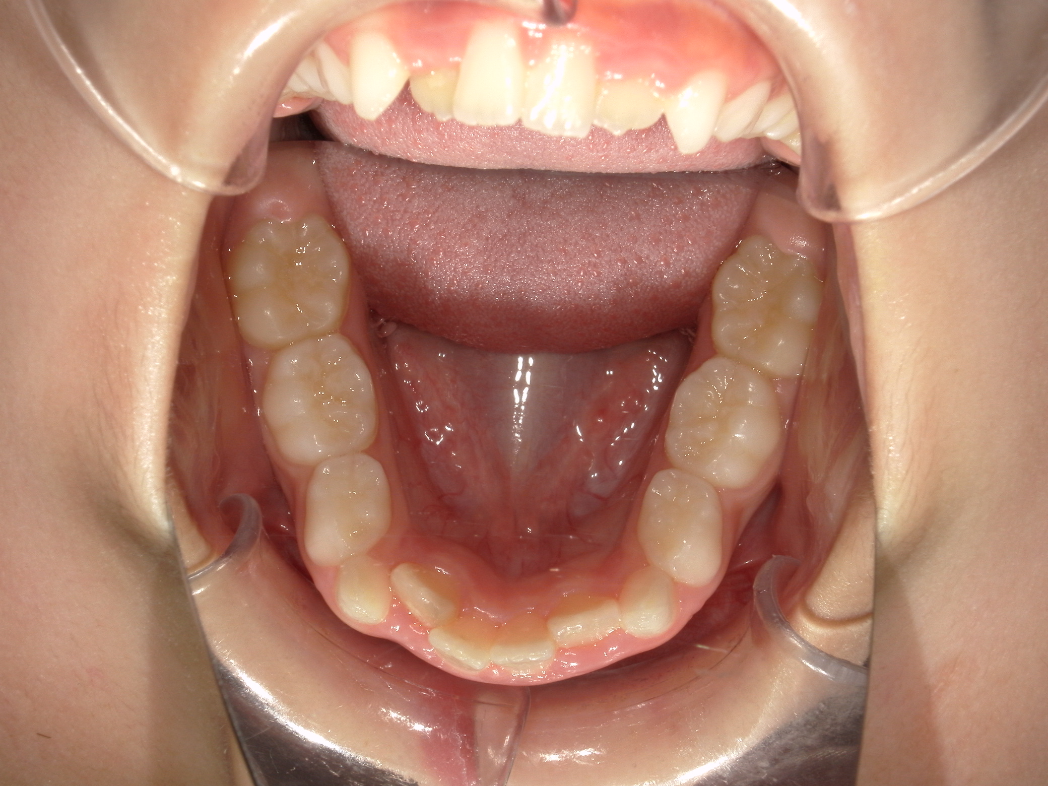
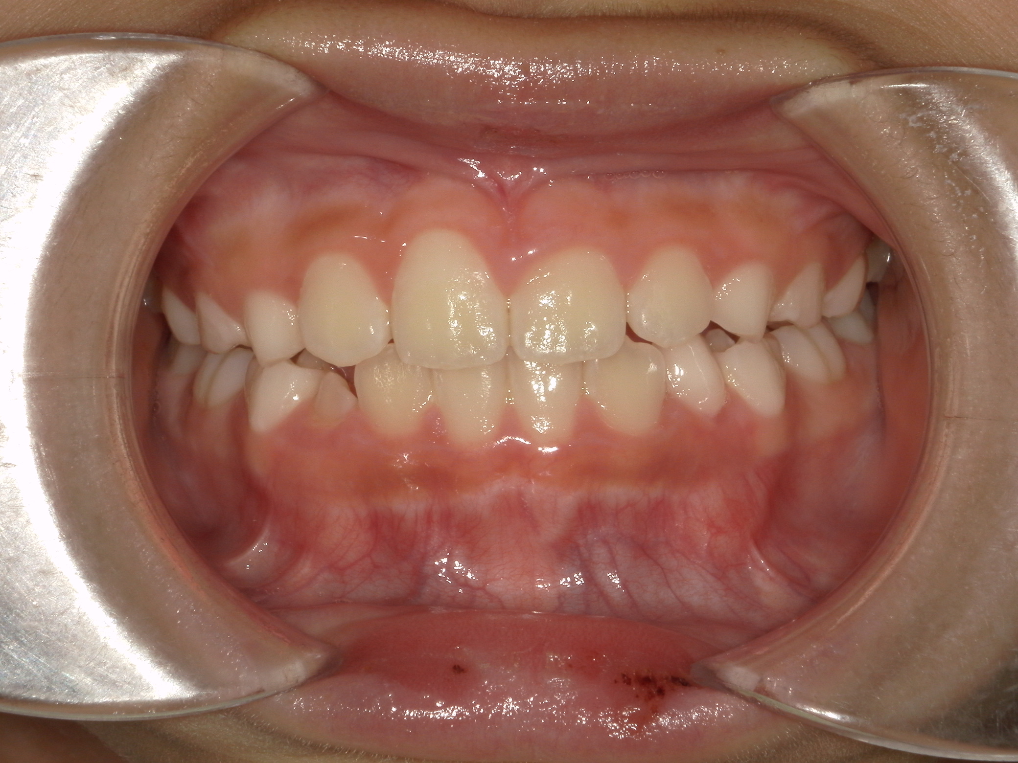
こどもの矯正症例

治療例前
治療例前
治療例後
治療例後

" ご心配なこと " や " 気になること " に
分かりやすくお答えします。

初めてのご相談予約はこちらから。

ご相談だけでもお気軽に

[平日]10:00 - 18:30 /[土日] 10:00 - 17:30