こどもの矯正症例

case

こどもの矯正症例

当院のこどもの矯正症例集

矯正治療を受けられた方の治療症例を紹介しています
ご検討の方は、ぜひご覧ください

全て の治療例

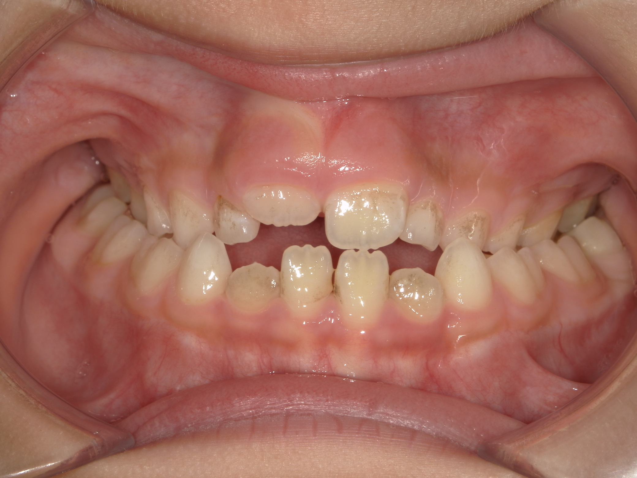
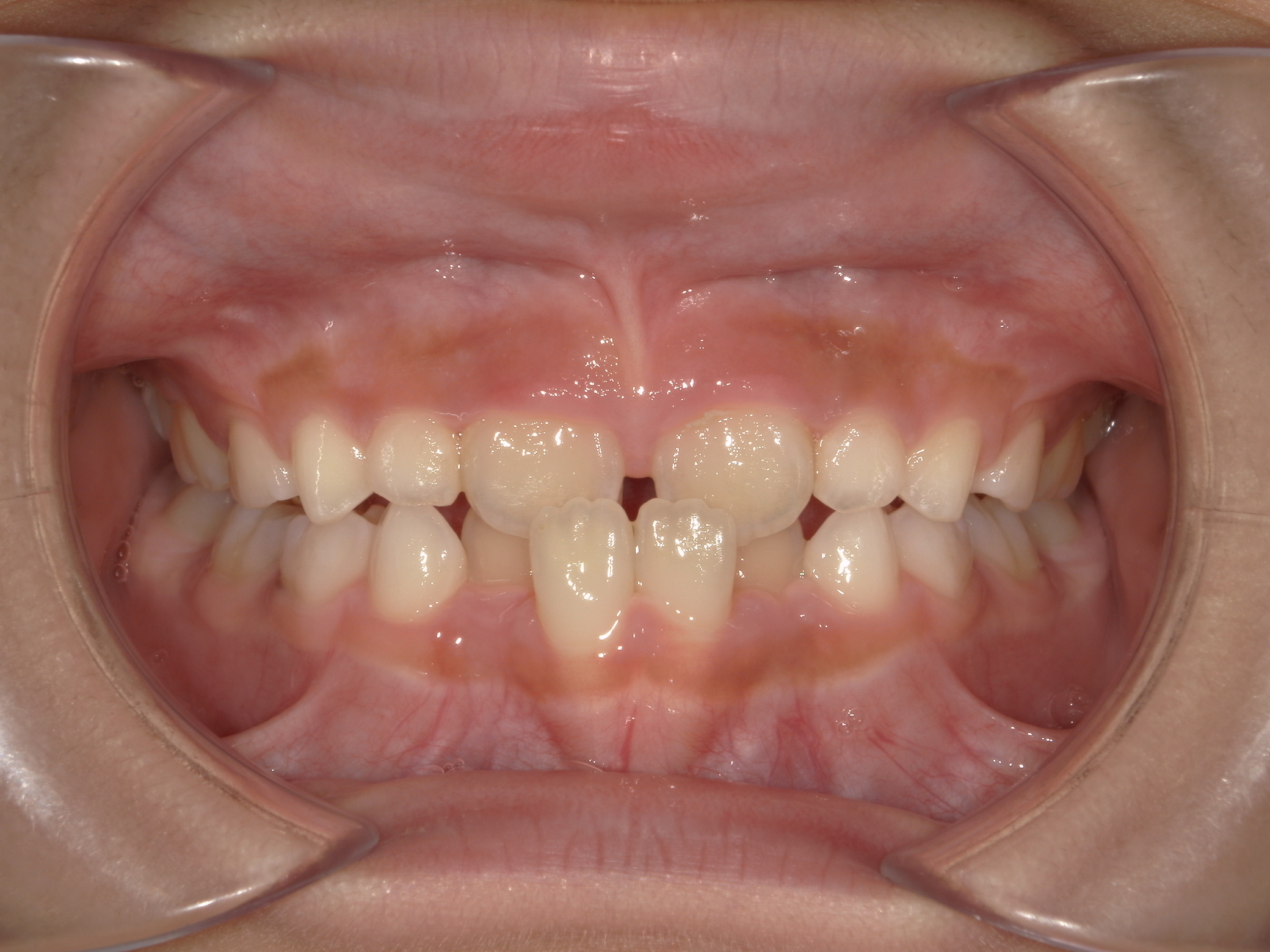
歯の位置異常(犬歯位置異常)

8歳 男性

治療例前
治療例前
治療例後
治療例後

治療法

歯列弓拡大、前歯の正常被蓋獲得、犬歯の誘導

装置

拡大床、部分ワイヤー

費用

495,000円(税込)

期間

2年6か月

付記

左上犬歯の位置異常が初診時検査で認められました。外科的誘導は行っておらず、歯列弓をしっかり拡大し、乳歯を意図的に抜歯してあげることで本来の位置へ誘導することに成功しています。矯正歯科医院での適切な判断で外科処置を回避できた症例です。
2期治療にて仕上げの矯正治療を行う予定です。

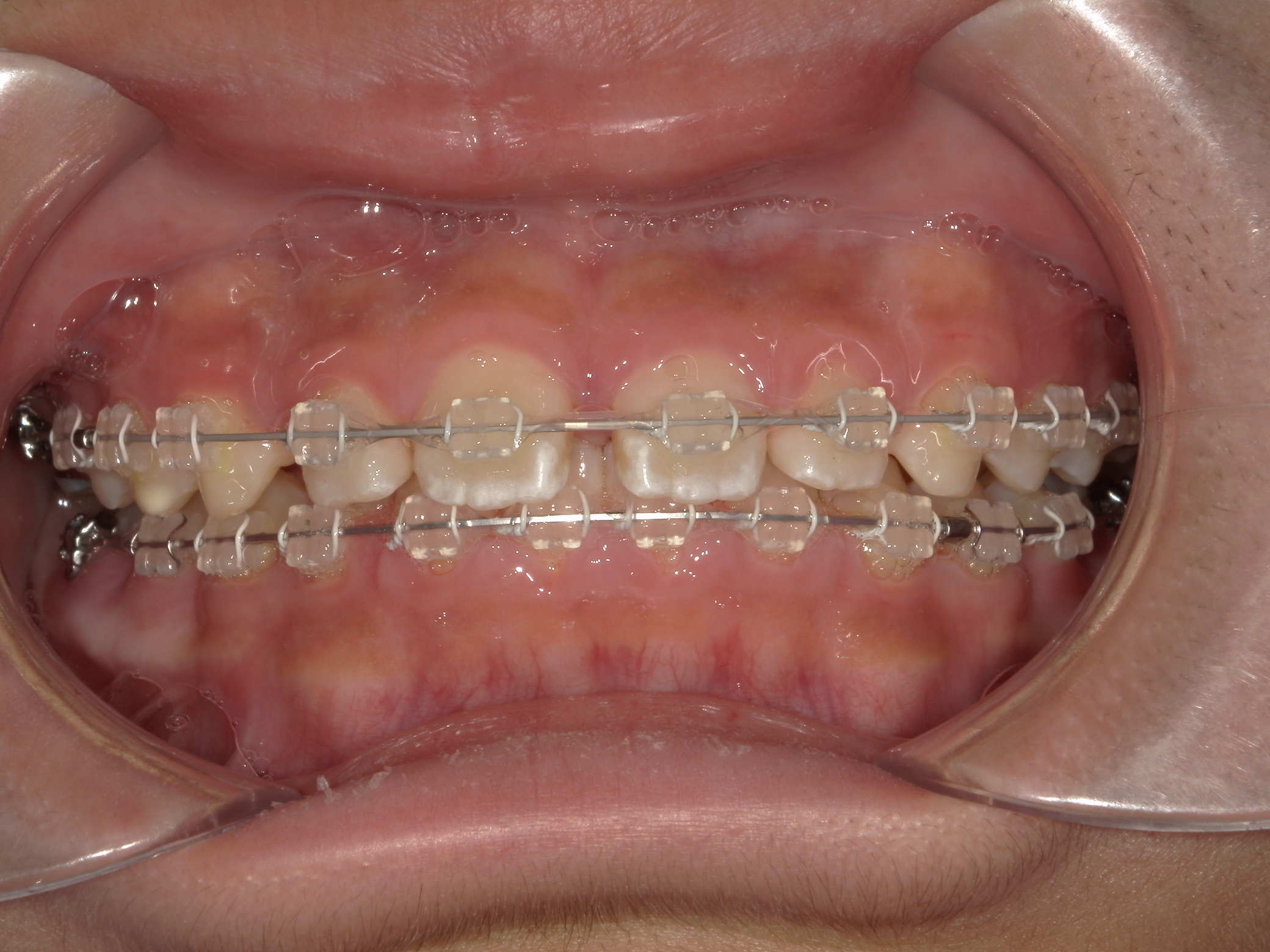
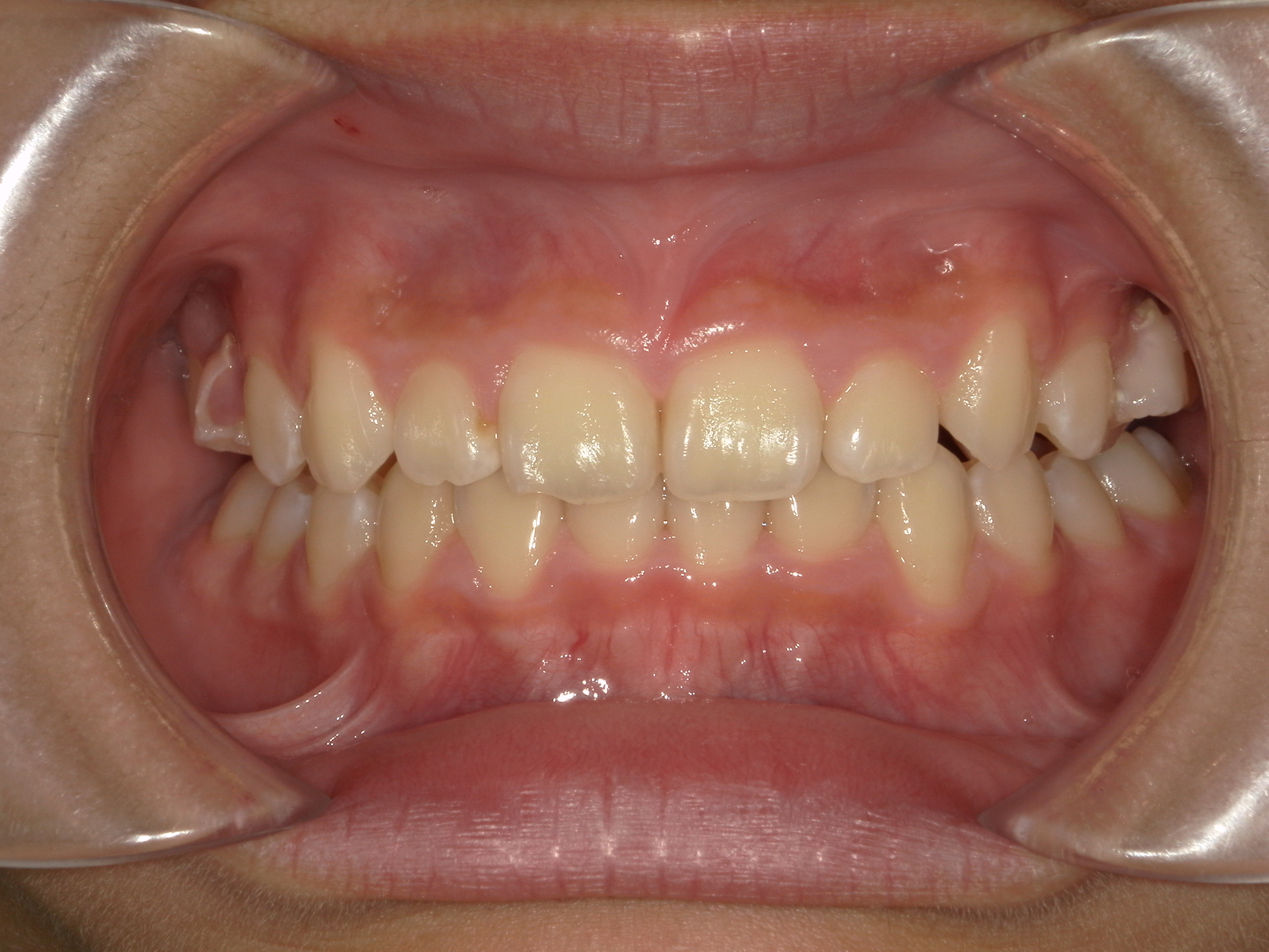
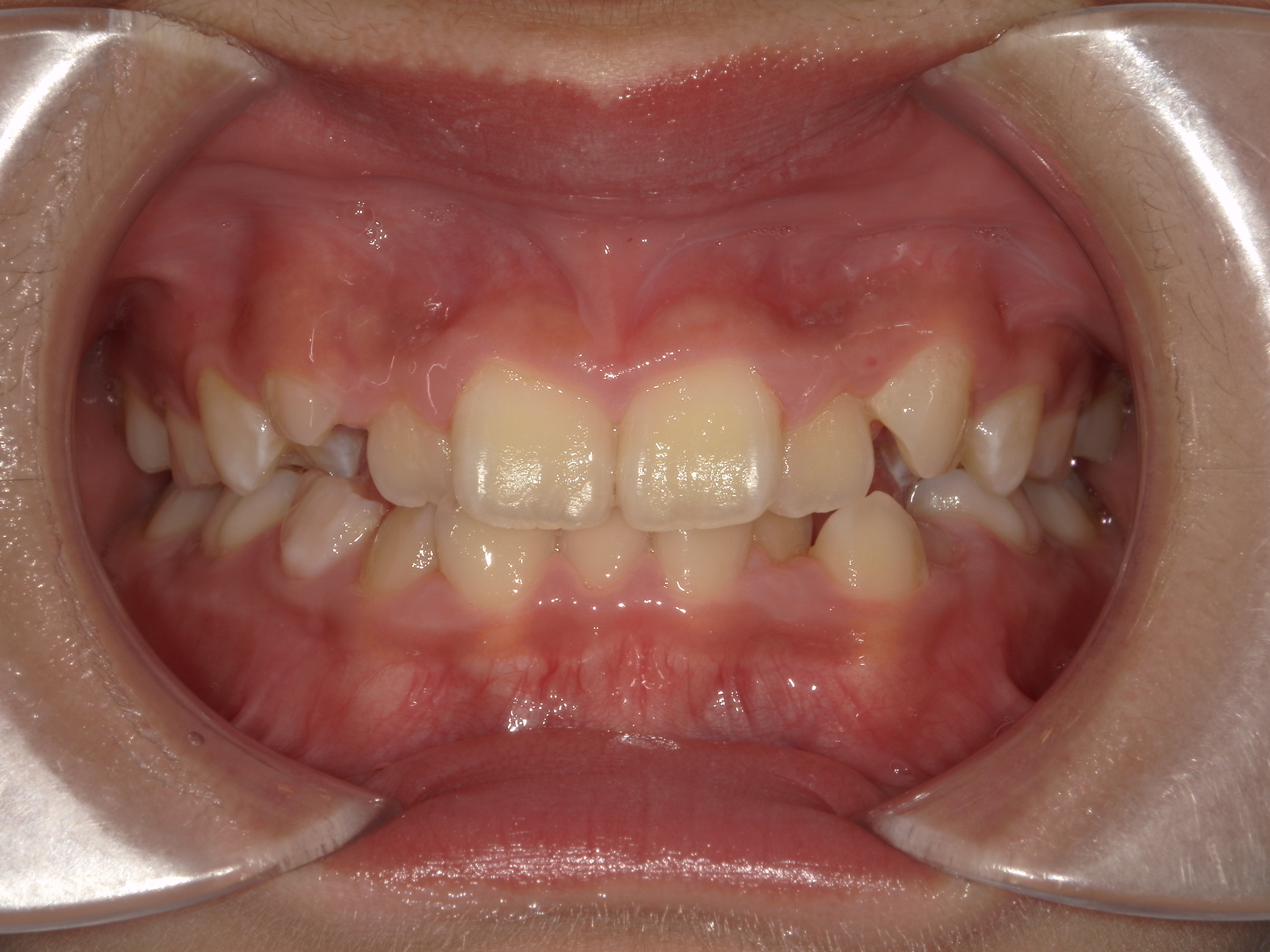
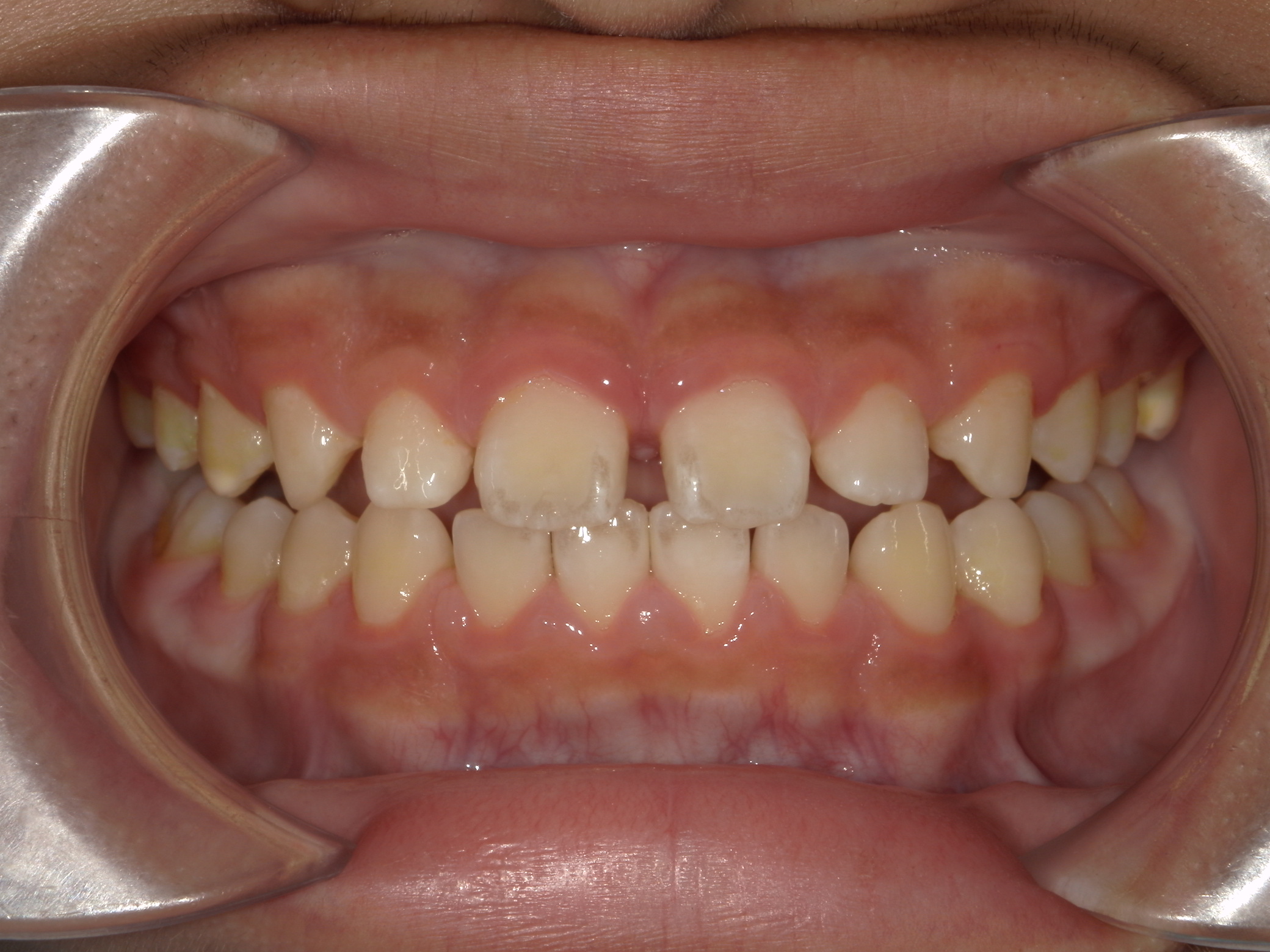
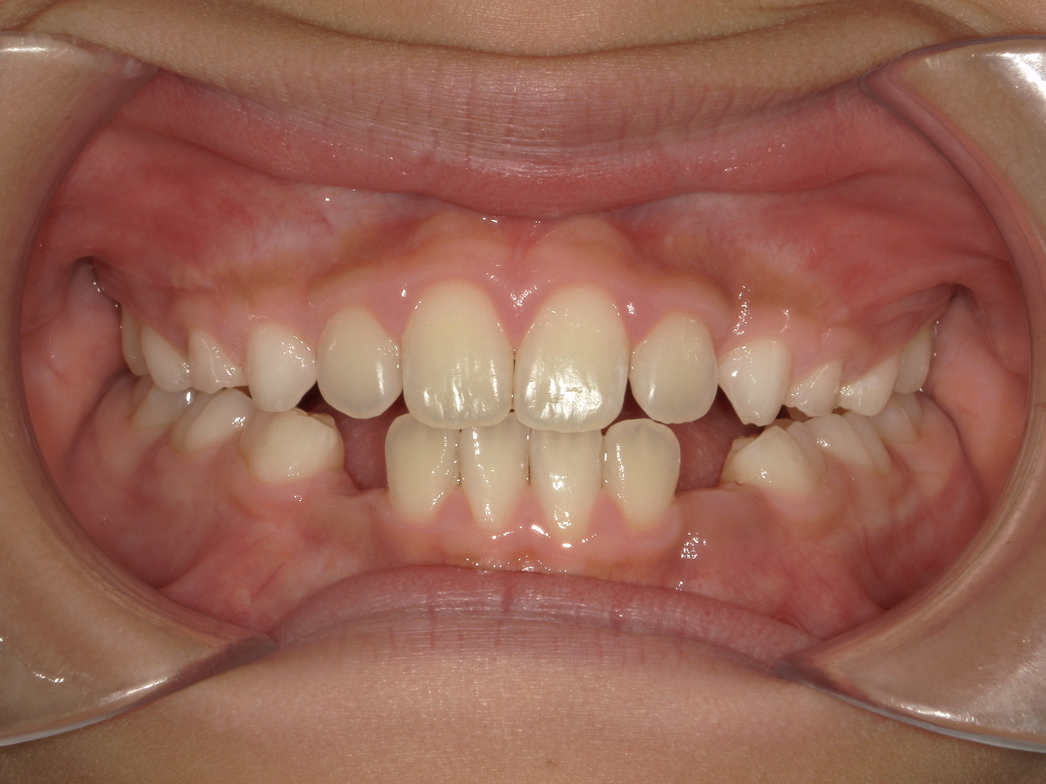
すきっ歯(11歳空隙歯列)

11歳 男性

治療例前
治療例前
治療例後
治療例後

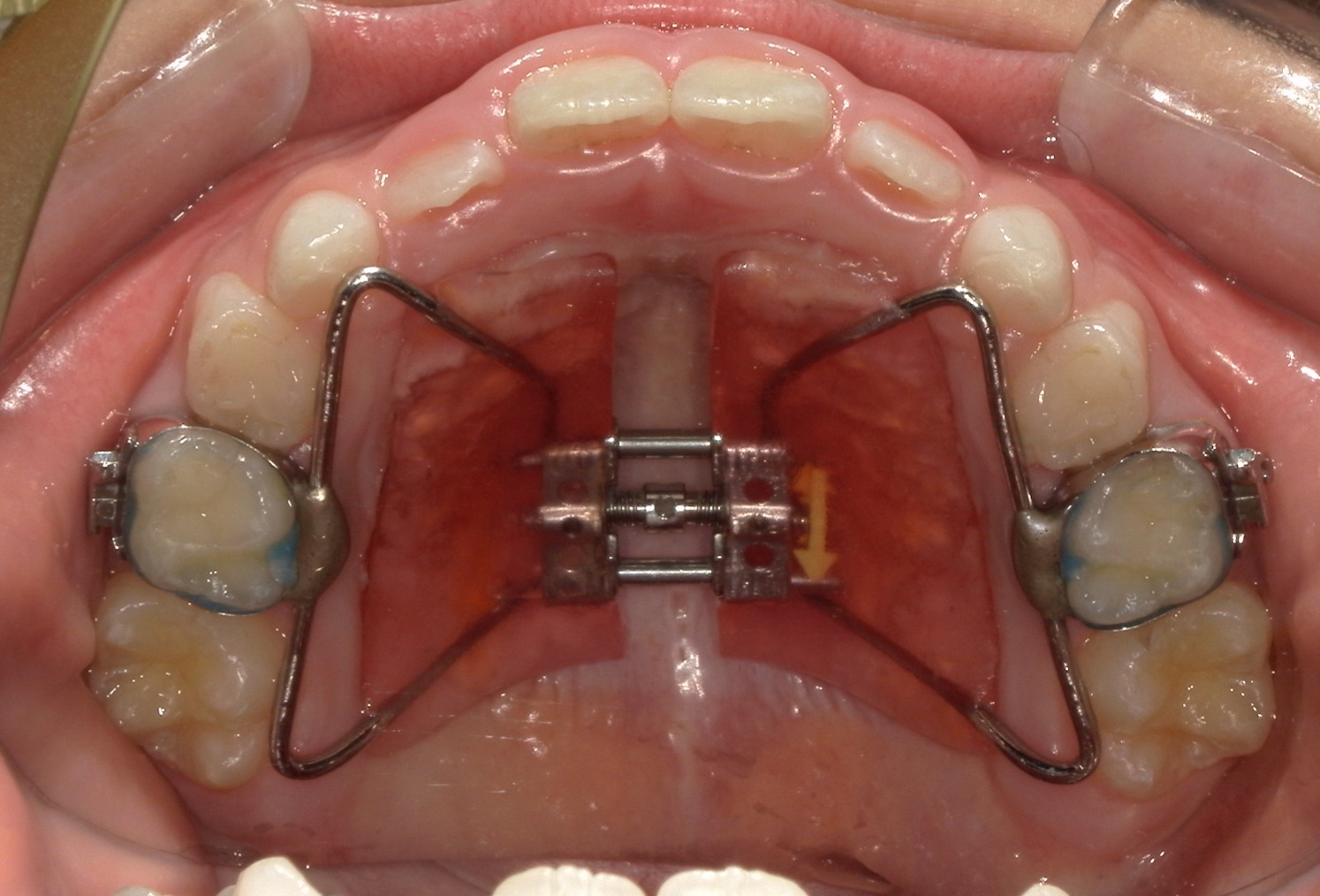
治療法

非抜歯矯正治療

装置

表側ワイヤー矯正

使用装置写真

費用

935,000円(税込)

期間

1年2か月

付記

隙間が歯列全体にあり、かみ合わせも深い状態でした。
上下にワイヤーを装着し、かみ合わせをあげながら隙間を閉じています。
副作用:歯根吸収・歯髄壊死・歯肉退縮・隙間の再発

叢生(マウスピース矯正)

7歳 女性

治療例前
治療例前
治療例後
治療例後

治療法

カスタムメイド型マウスピース矯正装置(インビザライン)による歯列弓拡大、叢生の改善

装置

カスタムメイド型マウスピース矯正装置(インビザライン)

費用

605,000円(税込)

期間

約1年

付記

マウスピース矯正装置(インビザライン)にて効率よく歯列弓拡大と叢生を改善しています。
ホーレータイプリテーナー(保定装置)を使いながら大人の歯が生えそろうまで経過観察中です。

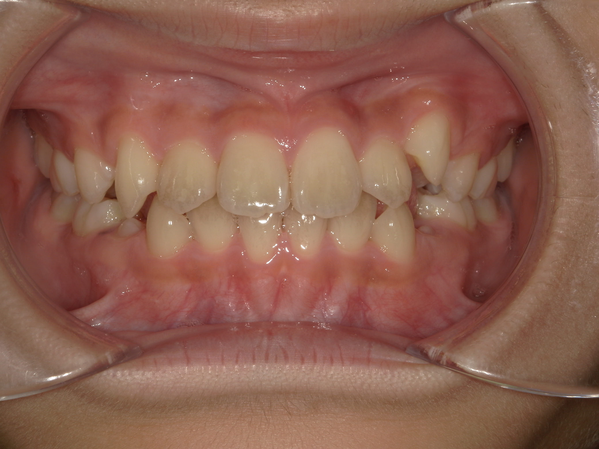
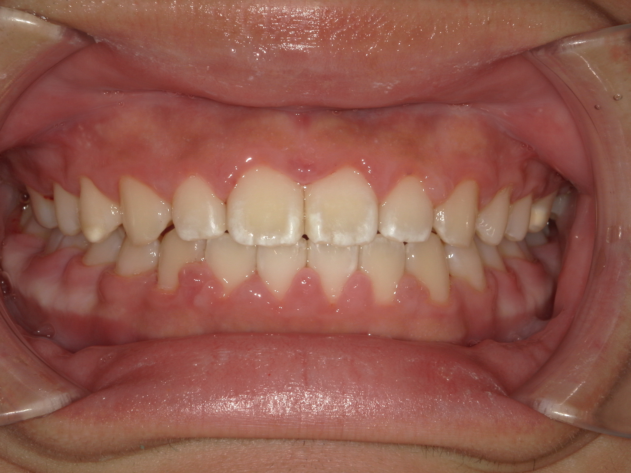
すきっ歯

7歳 女性

治療例前
治療例前
治療例後
治療例後

治療法

プレオルソによる筋機能訓練(MFT)

装置

筋機能トレーナー(プレオルソ)

費用

495,000

期間

約1年

付記

舌癖による不正咬合が認められたため、プレオルソを使用して口腔周囲筋のバランスを整え歯並びが改善しました。
患者様の使用協力が得られれば、プレオルソのみで綺麗な歯並びにすることが可能です。歯の位置異常がないかなどのきちんとした矯正精密検査、矯正医の診断のもと装置の選択を行うことが大切です。
リスク:歯肉退縮、歯根吸収、後戻り、予期せぬ成長

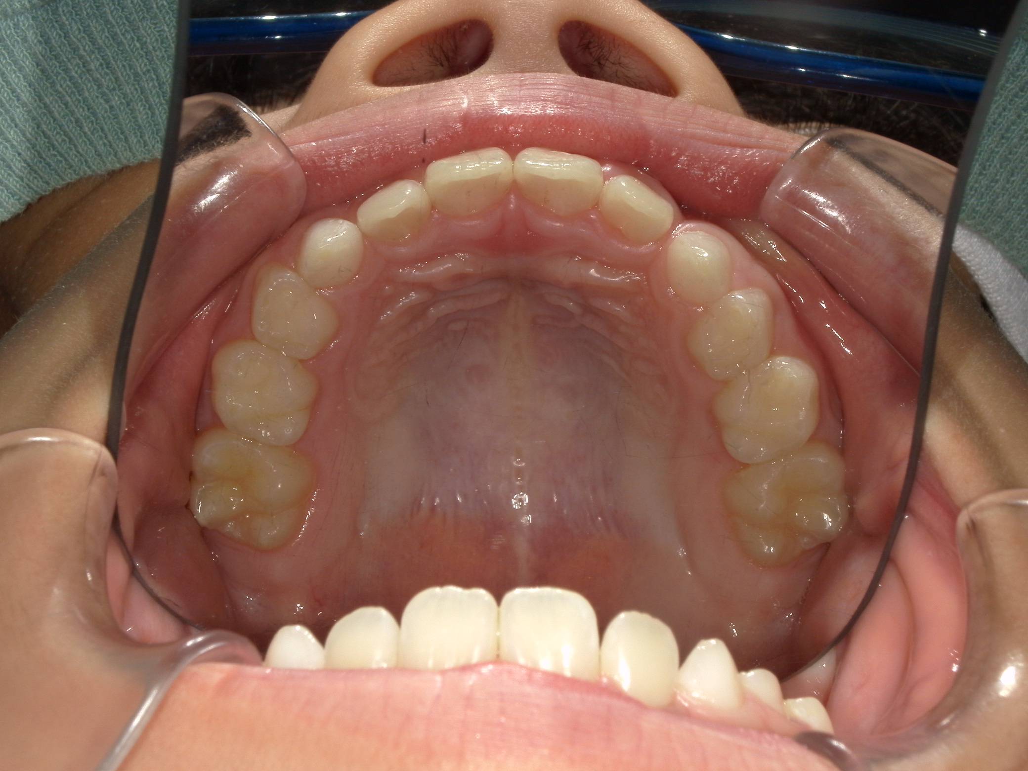
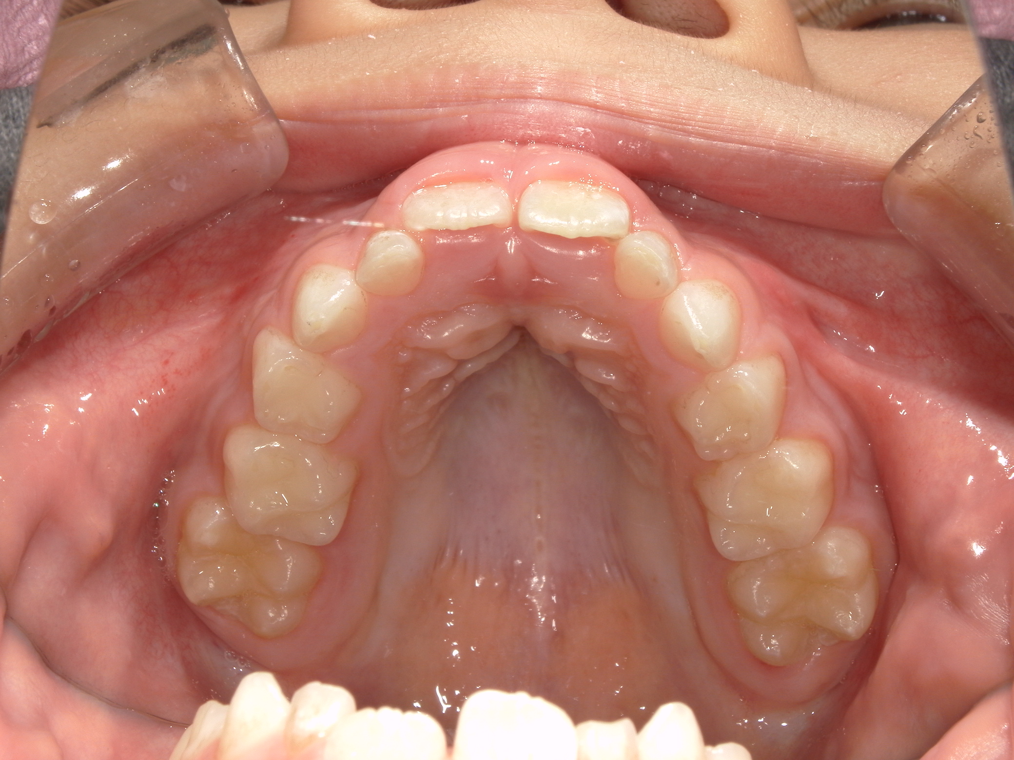
受け口(上顎歯列弓狭窄による臼歯部交叉咬合)

6歳 男性

治療例前
治療例前
治療例後
治療例後

治療法

上顎歯列拡大による交叉咬合の改善

装置

急速拡大装置

使用装置写真

費用

495,000円(税込)

期間

約1年半

付記

上顎がかなり狭窄した状態でした。固定式拡大装置で歯列および顎骨を拡大し、奥歯のかみ合わせも改善しています。
中学生以降になると骨が固くなりこのようにキレイには拡大できないため早期治療が功を奏した例です。
2期治療のための精密検査が必要です。
リスク:歯肉退縮、歯根吸収、後戻り、予期せぬ成長

" ご心配なこと " や " 気になること " に
分かりやすくお答えします。

初めてのご相談予約はこちらから。

ご相談だけでもお気軽に

[平日]10:00 - 18:30 /[土日] 10:00 - 17:30