大人の矯正症例

case

大人の矯正症例

当院の大人の矯正症例集

矯正治療を受けられた方の治療症例を紹介しています
ご検討の方は、ぜひご覧ください

全て の治療例

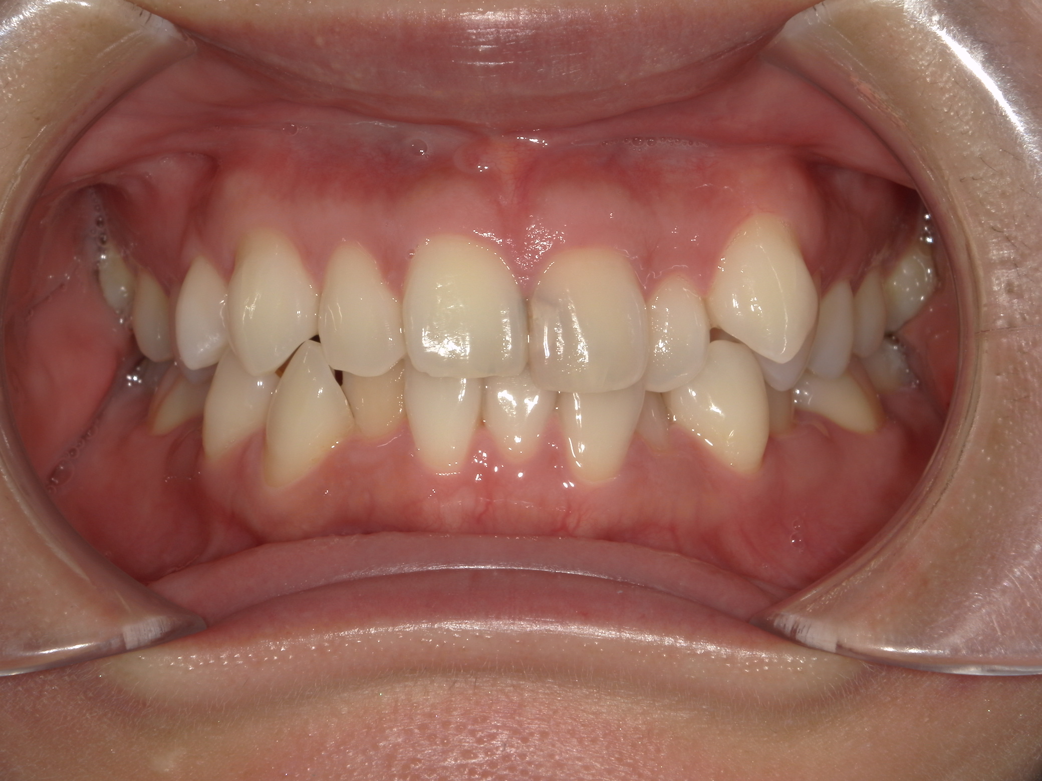
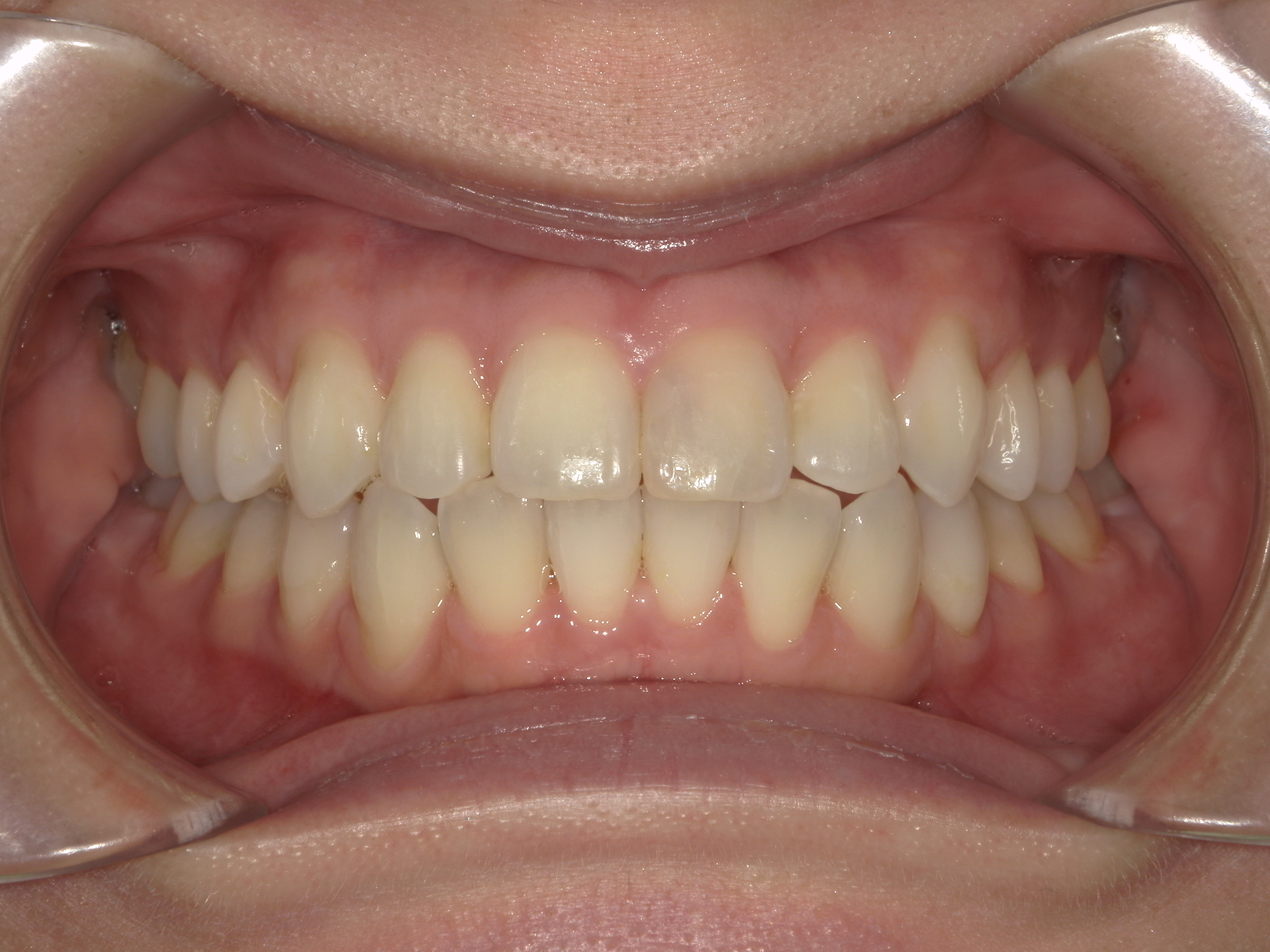
叢生

31歳 女性

治療例前
治療例前
治療例後
治療例後

治療法

表側ワイヤーによる非抜歯矯正治療

抜歯

非抜歯

費用

935,000円(税込)

期間

1年7ヶ月

付記

奥歯のかみ合わせに問題のない前歯のみの叢生のケースです。凸凹量がかなりありましたが、 口唇突出はありませんでしたので歯間削合を組み合わせることで歯を抜かずに治療を行いました。
リスク:歯肉退縮、歯根吸収、後戻り

出っ歯(インビザライン抜歯治療)

18歳 女性

インビザライン シミュレーション動画
治療例前
治療例前
治療例後
治療例後

治療法

カスタムメイド型マウスピース矯正装置(インビザライン)による抜歯矯正治療

抜歯

抜歯

費用

990,000円(税込)

期間

約2年

付記

上の歯を2本抜歯し、下の歯はなるべく前に出ないように後方移動しています。
難しいとされるインビザラインでの抜歯治療でしたが、患者様の協力度が高かったため大変良好な結果を得ています。
リスク:歯肉退縮、歯根吸収、後戻り

叢生

31歳 女性

治療例前
治療例前
治療例後
治療例後

治療法

表側矯正

抜歯

抜歯

費用

968,000円(税込)

期間

約2年

付記

左下第一大臼歯が欠損していた部分を第二大臼歯を手前に移動させて隙間を閉じています。
叢生も強かったため小臼歯を抜歯しています。
リスク:歯肉退縮、歯根吸収、後戻り

出っ歯

22歳 女性

インビザライン シミュレーション動画
治療例前
治療例前
治療例後
治療例後

治療法

カスタムメイド型マウスピース矯正装置(インビザライン)による抜歯矯正治療

抜歯

抜歯

費用

約1,000,000円

期間

約2年半

付記

上のみ抜歯して前歯を下げたことにより、上唇の突出を改善しました。
リスク:歯肉退縮、歯根吸収、後戻り

叢生

15歳 男性

治療例前
治療例前
治療例後
治療例後

治療法

マウスピースによる非抜歯矯正治療

抜歯

非抜歯

費用

約950,000円(税込)

期間

約1年

付記

叢生が強いお口の中でしたが、口元の突出感がわずかであったため歯を抜かずに治療を行いました。
リスク:歯肉退縮、歯根吸収、後戻り

" ご心配なこと " や " 気になること " に
分かりやすくお答えします。

初めてのご相談予約はこちらから。

ご相談だけでもお気軽に

[平日]10:00 - 18:30 /[土日] 10:00 - 17:30