こどもの矯正症例

case

こどもの矯正症例

当院のこどもの矯正症例集

矯正治療を受けられた方の治療症例を紹介しています
ご検討の方は、ぜひご覧ください

全て の治療例

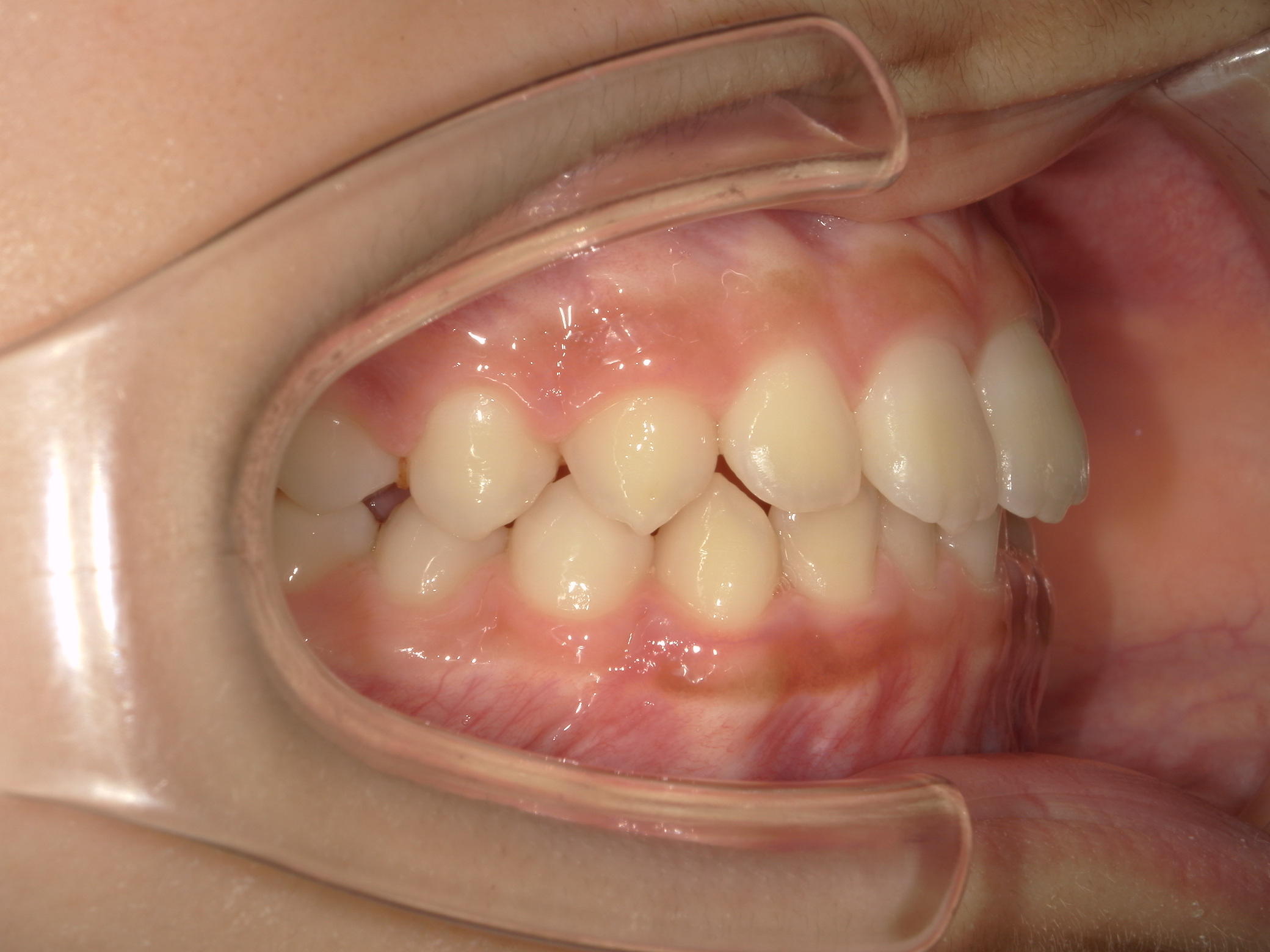
開咬(上下顎前突)

9歳 男性

治療例前
治療例前
治療例後
治療例後

治療法

歯列弓拡大、前歯の正常被蓋獲得

装置

ワイヤー矯正、床矯正

使用装置写真

費用

495,000円(税込)

期間

約1年半

付記

舌癖を伴う上下前歯開咬の状態でした。上の歯をワイヤーで押し出し、下の歯を床装置で内側へ移動させて良好な被蓋が獲得できました。
舌癖を引き続き注意しながら経過観察中です。
2期治療のための精査が必要です。
リスク:予期せぬ成長、歯肉退縮、歯根吸収、後戻り

すきっ歯(正中離開)

7歳 女性

治療例前
治療例前
治療例後
治療例後

治療法

カスタムメイド型マウスピース矯正装置(インビザライン)による隙間のコントロール

装置

カスタムメイド型マウスピース矯正装置(インビザライン)

費用

605,000円(税込)

期間

約1年

付記

正中離開で上下の歯列正中も不一致の状態でした。マウスピースで計画的に隙間を閉じ、永久歯萌出スペースの確保を行っています。
2期治療のための精査が必要です。
リスク:予期せぬ成長、歯肉退縮、歯根吸収、後戻り

叢生

10歳 女性

治療例前
治療例前
治療例後
治療例後

治療法

カスタムメイド型マウスピース矯正装置(インビザライン)による歯列弓拡大、叢生の改善

装置

カスタムメイド型マウスピース矯正装置(インビザライン)

使用装置写真

費用

605,000円(税込)

期間

約1年

付記

生え変わりの激しい時期でしたがマウスピースで治療しています。
2期治療のための精査が必要です。
リスク:予期せぬ成長、歯肉退縮、歯根吸収、後戻り

過蓋咬合

9歳 男性

治療例前
治療例前
治療例後
治療例後

治療法

カスタムメイド型マウスピース矯正装置(インビザライン)による歯列弓拡大、OCⅠによる下顎骨成長誘導

装置

カスタムメイド型マウスピース矯正装置(インビザライン)、OCⅠ

使用装置写真

費用

605,000円(税込)

期間

約1年半

付記

インビザラインで難しいとされる過蓋咬合ですが、マウスピースで歯列を拡大した後骨格的な問題点、過蓋咬合をほかの装置でアプローチしています。
2期治療のための精査が必要です。
リスク:予期せぬ成長、歯肉退縮、歯根吸収、後戻り

開咬(舌癖による側方歯開咬)

10歳 女性

治療例前
治療例前
治療例後
治療例後

治療法

プレオルソによる筋機能訓練(MFT)、ワイヤーによる全顎矯正

装置

プレオルソ、表側ワイヤー矯正

使用装置写真

費用

約950,000円(税込)

期間

約3年

付記

永久歯が生えそろうまでプレオルソにて筋機能訓練を行いました。
永久歯が生えそろってから表側ワイヤーにて約1年間仕上げの治療を行いました。
リスク:予期せぬ成長、歯肉退縮、歯根吸収、後戻り

" ご心配なこと " や " 気になること " に
分かりやすくお答えします。

初めてのご相談予約はこちらから。

ご相談だけでもお気軽に

[平日]10:00 - 18:30 /[土日] 10:00 - 17:30